Oxford, Bicester and Beaconsfield
Dental conditions

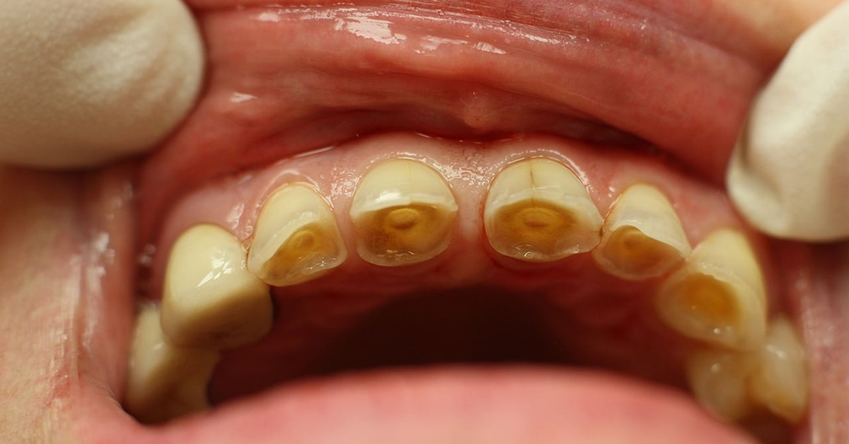
Tooth wear

Tooth wear refers to the gradual loss of tooth structure due to factors other than decay or trauma. It encompasses three main types: abrasion, erosion, and attrition. Abrasion is caused by mechanical actions like brushing too hard or using abrasive toothpaste, leading to the wear of the enamel near the gum line. Erosion results from chemical processes, such as exposure to acidic foods, drinks, or stomach acid, which dissolve the enamel. Attrition occurs from tooth-to-tooth contact, often due to bruxism (teeth grinding), which can wear down the biting surfaces of the teeth. Symptoms of tooth wear include increased tooth sensitivity, changes in tooth shape, and visible flattening or notching of the teeth. Preventive measures include using a soft-bristled toothbrush, avoiding acidic foods and beverages, and wearing a night guard if bruxism is present. Regular dental check-ups are essential for early detection and management of tooth wear.

How does it work?

Tooth wear, also known as toothwear, refers to the gradual loss of tooth structure due to various factors. It typically occurs through three main processes: abrasion, erosion, and attrition. Abrasion happens when external forces, like aggressive brushing or using abrasive toothpaste, wear down the enamel near the gum line. Erosion results from chemical processes, such as frequent consumption of acidic foods or gastric reflux, which dissolve the enamel. Attrition occurs from tooth-to-tooth contact, often due to bruxism (teeth grinding), leading to the wearing down of the biting surfaces. Over time, tooth wear can result in increased tooth sensitivity, changes in tooth shape, and potential dental complications. Preventive measures include using a soft-bristled toothbrush, avoiding acidic foods and drinks, managing reflux conditions, and addressing bruxism with a night guard. Regular dental check-ups are crucial for monitoring and managing tooth wear effectively.

At a Glance

Treatment Time

from 1 hour

Duration

1-2 visits

Return to work

Same day 

syringe

Anesthetic

Local anaesthesia is optional

Frequently Asked Questions

Tooth wear refers to the gradual loss of tooth structure due to mechanical or chemical processes other than decay or trauma.

The main types of tooth wear are abrasion (mechanical), erosion (chemical), and attrition (tooth-to-tooth contact).

Tooth wear can result from various factors, including aggressive tooth brushing, consumption of acidic foods and drinks, gastric reflux, and teeth grinding (bruxism).

Symptoms of tooth wear include increased tooth sensitivity, changes in tooth shape, visible flattening or notching of the teeth, and potential tooth damage.

Preventive measures include using a soft-bristled toothbrush, avoiding abrasive toothpaste, minimizing consumption of acidic foods and drinks, managing reflux conditions, and wearing a night guard for bruxism.

While early-stage tooth wear may be managed and slowed down with preventive measures, advanced tooth wear cannot be reversed, and treatment typically focuses on preventing further damage and addressing symptoms.

BEFORE AND AFTER

repair of tooth erosion

Conditions Related to

CONDITION

Tooth Sensitivity

Tooth sensitivity typically occurs when the protective layers of the teeth are compromised, affecting the underlying dentine or even the nerves within the tooth.

CONDITION

Dental Erosion

Dental erosion often accompanies tooth wear, as acidic substances dissolve the enamel, leading to further loss of tooth structure.

CONDITION

Bruxism (Teeth Grinding)

Bruxism, characterized by the clenching or grinding of teeth, can exacerbate tooth wear by subjecting teeth to excessive forces and friction.

PRICE (PER TREATMENT)

From

£ 350 Per Tooth

TREATMENT VIDEOS